"I came from out of state, so they aren’t my usual dentists, but in about half an hour they had my bonding redone and good as new. I later made an appointment with my regular dentist and he commented on the quality of the work."
Jesse Z.
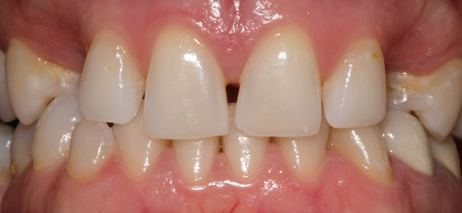
Click on any photo, then use the slider to see the difference we can make.


"I came from out of state, so they aren’t my usual dentists, but in about half an hour they had my bonding redone and good as new. I later made an appointment with my regular dentist and he commented on the quality of the work."
Jesse Z.